よりよい信頼関係づくりのために
聴診教育に取り組んでいます
「聴く力」を、毎週アップデート。
iPax 聴診クイズ、Weekly配信(無料)
今週は心音クイズ2問と肺音クイズ2問、合計4問を公開しました(無料)。
次のiPax症例はその中の1例です。聴診してみてください。
(2026年2月24日)
※ 音を聴く際は、イヤホンの使用を推奨します。
https://kikuzosound.com/member_login
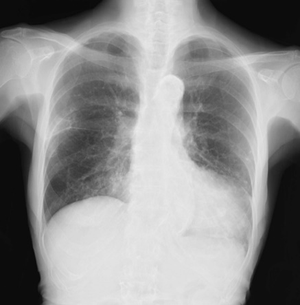
今週の症例
問診
1~2週以内のシックコンタクトは孫だけ。喀痰の色は白色、咳が強い。労作時の息切れ無し。同様に孫に接していた妻も咽頭痛や鼻汁など、感冒様症状がある。
飲酒歴 無し
既往歴 副鼻腔炎(幼少時)
喫煙歴 20本を20歳~50歳(30 pack-years)
身体所見
37.8℃の発熱あり。呼吸数18回/分、血圧134/60mmHg, 脈拍90/分、SpO2 94%
胸部単純X線

聴診症例の使い方
「OK」ボタンを押してください。男性上半身のイラストが表示されたら、聴診する部位をクリック。その部位の音が聴こえます。※音を聴くときはイヤホンをご利用ください。
→続きはこちら
■ ユーザ登録がまだの方(スマートフォンで登録)
https://kikuzosound.com/member_login
上記ページ下方の「SNSアカウント、または Google/LINE アカウントで登録」から、無料でユーザ登録してご利用ください。
■ すべての公開コンテンツをご利用希望の方
サブスクリプションをご購入いただくと、これまでに公開した症例に加え、サブスクリプション限定のステップワイズ聴診コンテンツや動画解説をご覧いただけます。
「買い物かご」から Subscription を選択してご購入ください。
kikuzosound.com では、毎週、新しい聴診クイズを配信しています。
■ iPax紹介サイト
https://telemedica.site/ipax-7feature-jp/
■ お問い合わせ
E-mail:3sp@telemedica.co.jp
【PR】大学向けと学生向けのiPaxライセンス比較
大学向けのライセンスと学生向けのライセンスの違い
実際の患者さんの聴診音を再現した「大学向けライセンス」とスマートホンに最適化した「学生向けライセンス」の違いを動画で説明しています。
この動画はAIで作成しています

詳細はこちら
【PR】PPTで使う
音源の「症例リスト」一例
\ 合計700症例以上 /
心音(iPax症例)
・正常心音
・S2呼吸性分裂
・S2異常分裂
・S3ギャロップ
・S4ギャロップ
・サメーションギャロップ
・大動脈弁狭窄
・大動脈弁閉鎖不全
・僧帽弁狭窄
・僧帽弁閉鎖不全
肺音(iPax症例)
・正常肺音
・ファインクラックルズ
・コースクラックルズ
・ウィージズ
・ロンカイ
・ウィージズ+ロンカイ
・コースクラックルズ+ロンカイ
・コースクラックルズ+スクウォーク +ロンカイ
・空洞呼吸
・気管支呼吸音低下
その他聴診音
・コロトコフ音
(脈触診機能あり含む)
・グル音
(メタリックサウンド含む)
・透析シャント音
ケーススタディ
・心不全
(僧帽弁閉鎖不全)
・心不全
(僧帽弁閉鎖不全+三尖弁閉鎖不全 +心房細動)
・胸痛の症例
・心電図異常がある症例
・MTX肺の関節リウマチ症例
・関節リウマチに伴う間質性肺炎 COPD合併例
・蜂巣肺のない特発性肺疾患症例
・高MDA-5抗体陽性皮膚筋炎症例
・新生児症例
\ リストに無い症例やオリジナル症例を希望の場合は、テレメディカが音源を作成して提供します /